Cet homme a caché de l'herbe dans son nez : elle est restée coincée pendant 18 ans...

Cet homme a caché de l'herbe dans son nez : elle est restée coincée pendant 18 ans...

Une histoire a récemment étonné le personnel d'un l'hôpital de Sydney, avant de surprendre le monde entier. Des médecins ont retiré un ballon rempli de cannabis du nez d'un homme. Ce qui est très perturbant, c'est que la drogue y était logée depuis 18 ans...

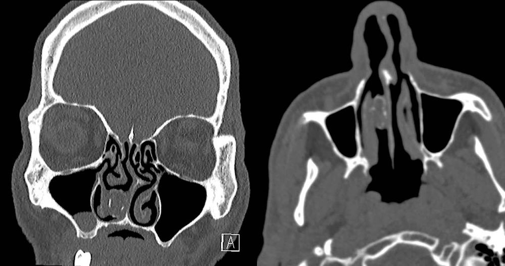
Selon un rapport publié le 25 octobre dans le journal BMJ Case Reports, l’homme de 48 ans avait été admis à l’hôpital Westmead de Sydney, en Australie, après s’être plaint de maux de tête. Un scanner de son crâne révéla une "masse grise solide" dans la cavité nasale droite. Lors d'un interrogatoire, l'homme affirma qu'il avait eu des infections nasales récurrentes et qu'il avait déjà remarqué une obstruction des narines.

Les médecins ont qualifié la masse de "rhinolithe" (littéralement "cailloux de nez"). Les rhinolithes sont des concrétions calcaires qui se forment lentement dans les fosses nasales, autour d'un corps étranger.

Cela signifiait donc que du calcium et d'autres minéraux s'étaient accumulés autour d'un "corps inconnu" dans la cavité nasale de l'homme. Ils ont alors retiré le bouchon obstruant la narine du patient et ont découvert qu'il s'agissait d'une "capsule de caoutchouc contenant des matières végétales en dégradation". Soit, en d'autres termes, un vieux ballon rempli de cannabis.

Une intervention qui a "rafraîchit la mémoire" du patient sur les raisons d'un tel acte

Après l'intervention, le patient s'est soudainement rappelé d'un incident survenu 18 ans plus tôt, alors qu'il était incarcéré. Au cours d'une visite, sa compagne d'alors lui avait apporté une petite quantité de cannabis, contenue dans un ballon. L'homme avait inséré ce dernier dans son nez, craignant que les gardiens de prison ne le découvrent.

Sujet similaire : Cannabis ou alcool : lequel est le plus néfaste pour le cerveau ?

« Malgré le passage clandestin du sachet entre les gardes de la prison, le patient l'a ensuite poussé par inadvertance plus profondément dans le narine et a cru à tort qu'il l'avait avalé », ont écrit les médecins.

Le ballon est ensuite resté dans le nez de l'homme pendant 18 ans, jusqu'à ce que le scanner indique sa présence. Les minéraux recouvrant le ballon ont probablement aidé à conserver sa structure intacte, bien que les médecins n'aient pas spéculé sur ce qui aurait pu se produire si le "sachet de cannabis" s'était rompu.

« À notre connaissance, ce cas est le premier signalement d'un rhinolithe à base de marijuana acquis en prison », ont écrit les médecins. Ils soupçonnent que la plupart des trafics de drogue impliquent une personne avalant la marchandise de contrebande, puis la faisant passer par le tractus gastro-intestinal. « L'insertion dans la cavité nasale à cette fin est relativement rare », ont-ils écrit.

Suivez-nous sur les réseaux sociA0110010001